Các nhà khoa học tại Đại học King’s College London ở Anh phát hiện một loại thuốc điều trị Alzheimer có thể giúp răng sâu “tự hàn lại”.
Hàn răng sẽ có thể trở thành dĩ vãng khi các nhà khoa học phát hiện một loại thuốc điều trị Alzheimer có khả năng kích thích răng tự mọc và phủ kín chỗ bị sâu, sứt mẻ.
Các nhà nghiên cứu tại Đại học King’s College London ở Anh nhận thấy loại thuốc Tideglusib dùng cho bệnh nhân Alzheimer có thể kích thích tế bào gốc trong tủy răng, khiến chúng tái tạo phần ngà răng – chất liệu khoáng hóa bên dưới lớp men răng.

Trên thực tế, răng vốn đã có khả năng tái tạo phần ngà nếu phần tủy bị phơi lộ do chấn thương hoặc nhiễm trùng, nhưng chỉ có thể tái tạo một lớp ngà rất mỏng, không đủ để phủ đầy lỗ răng sâu.
Nhưng Tideglusib có khả năng vô hiệu hóa enzyme GSK-3, vốn ngăn cản quá trình tái tạo phần ngà.
Các nhà khoa học cho biết một cách sử dụng là nhúng một miếng bọt biển có thể tự phân hủy sinh học vào dung dịch thuốc này rồi chèn vào lỗ sâu, nhằm kích thích quá trình tái tạo ngà răng và khôi phục tổn thương trong vòng 6 tuần.
Miếng bọt biển nhỏ xíu được làm từ collagen nên sẽ tan biến theo thời gian, chỉ để lại cái răng đã được hàn tự nhiên.
“Đây là một phương pháp cực kỳ thú vị, mới lạ, và có tiềm năng rất lớn. Chúng tôi hy vọng có thể sớm đưa nó vào thực tiễn, để trở thành một bước tiến đột phá trong điều trị các bệnh về răng.”
-TS Nigel Carter, CEO của tổ chức chăm sóc sức khỏe răng miệng Oral Health Foundation, nhận định.
“Sự đơn giản của phương pháp này biến nó thành một sản phẩm nha khoa lâm sàng lý tưởng trong điều trị các lỗ sâu lớn tự nhiên, bằng cách khôi phục phần ngà và bảo vệ phần tủy”, GS Paul Sharpe, tác giả chính của nghiên cứu, cho hay.
Hiện nay, nha sĩ sử dụng các chất liệu nhân tạo, ví như xi măng, để hàn kín lỗ sâu.
Nhưng loại xi măng này nằm chắc trong răng mà không bị phân hủy, nghĩa là theo cách này thành phần khoáng chất của răng không thể được khôi phục hoàn toàn. Ngoài ra, chỗ được hàn dễ bị nhiễm khuẩn nên cần phải thay thế một vài lần. Một khi hàn răng không thành hoặc nhiễm khuẩn xảy ra, nha sĩ sẽ cần phải khoan bỏ chỗ đó và hàn lại trên một diện tích rộng hơn. Sau nhiều lần điều trị, cái răng có thể cần phải được nhổ bỏ.
“Đây là một phương pháp cực kỳ thú vị, mới lạ, và có tiềm năng rất lớn. Chúng tôi hy vọng nó sẽ sớm được ứng dụng trong thực tiễn, và trở thành một bước tiến đột phá trong điều trị các bệnh về răng”, TS Nigel Carter, CEO của tổ chức chăm sóc sức khỏe răng miệng Oral Health Foundation, nhận định.
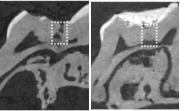
Cho tới nay phương pháp này mới được thử nghiệm trên chuột và có kết quả rất khả quan, khi có thể ‘hàn kín toàn bộ phần [răng] bị tổn thương’.
Vì Tideglusib đã cho thấy tính an toàn trong thử nghiệm lâm sàng trên bệnh nhên Alzheimer, nên các nhà khoa học cho rằng phương pháp này có thể nhanh chóng được đưa vào thực tiễn.
Nghiên cứu được đăng trên tạp chí Scientific Reports.
Quý Khải (theo Telegraph)