Ung thư là một trong những căn bệnh nguy hiểm, gây hoang mang nhiều nhất cho bản thân người bệnh, cho gia đình của họ và cho cả cộng đồng. Sự nguy hiểm của ung thư thể hiện ở chỗ, bệnh diễn biến phức tạp và chưa có một loại thuốc đặc hiệu nào để chống lại nó. Việc phát hiện ung thư ở giai đoạn đầu ở một số loại ung thư còn là một vấn đề khó khăn, điều này ảnh hưởng rất lớn đến quá trình điều trị thành công bệnh.
Theo Viện Ung thư quốc gia Hoa Kỳ – NCI, 10 bệnh ung thư dưới đây được cho là những bệnh ung thư nguy hiểm nhất, có tỷ lệ tử vong cao và thường gặp.
Ung thư gan
Bệnh ung thư gan được xem là căn bệnh ung thư phổ biến nhất trên toàn thế giới. Bệnh thường không có biểu hiện rõ ràng ở các giai đoạn sớm. Thông thường, các dấu hiệu sớm của bệnh ung thư gan có thể nhận biết được là sút cân không rõ nguyên nhân, chán ăn, đau thượng vị, buồn nôn nhiều, gan to, vàng da, vàng mắt, nước tiểu có màu tối.... Nguyên nhân chính dẫn đến bệnh ung thư gan được cho là từ virus viêm gan B, ngoài ra rượu cũng được xem là thủ phạm hàng đầu gây ra căn bệnh này.
Ung thư buồng trứng
Ung thư buồng trứng thường gặp ở phụ nữ và nó được coi là kẻ giết người thầm lặng, mặc dù sẽ dễ dàng hơn để chữa trị nếu được phát hiện sớm, nhưng lại rất khó phát hiện trong giai đoạn đầu nên việc điều trị thường tốn thời gian và tiền của. Có thể nói, ung thư buồng trứng là loại phổ biến nhất ở Hoa Kỳ và Vương quốc Anh. Mỗi năm có khoảng 21.000 phụ nữ ở Mỹ và 5.500 phụ nữ ở Vương quốc Anh được chẩn đoán mắc bệnh và trên thế giới có khoảng 140.000 phụ nữ tử vong mỗi năm vì căn bệnh này.
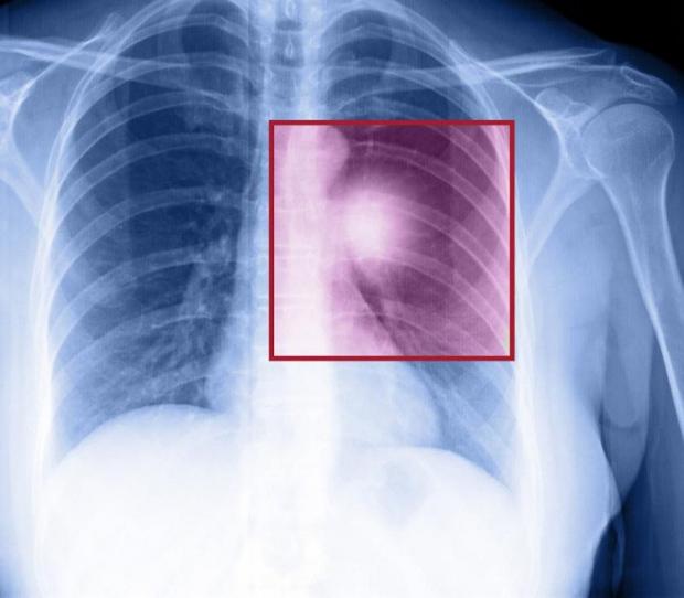
Ung thư phổi
Ung thư phổi là loại ung thư gây tỷ lệ tử vong cao hàng đầu tại các nước trên thế giới trong đó có cả các quốc gia có trình độ phát triển kinh tế – xã hội cao như Hoa Kỳ. Theo NCI, thuốc lá chính là thủ phạm chính gây nên căn bệnh này.
Ung thư phổi có hai loại chính là ung thư phổi không phải tế bào nhỏ và ung thư phổi tế bào nhỏ. Loại thứ nhất là loại phổ biến trên toàn cầu. Đối tượng mắc ung thư phổi là những người trong độ tuổi từ 55 đến 65 tuổi.
Ung thư đại tràng và trực tràng
Xếp sau ung thư phổi là ung thư đại tràng và trực tràng. Phần lớn các trường hợp ung thư trực tràng và đại tràng đều bắt đầu từ khối tế bào nhỏ lành tính còn được gọi là polyp, theo thời gian nó mới phát triển thành ung thư. Năm 2010, ung thư đại tràng và trực tràng khiến hơn 51.000 người tử vong.
Ung thư vú

Ung thư vú là căn bệnh phổ biến hàng thứ hai ở phụ nữ và là nỗi ám ảnh lớn của bất cứ người phụ nữ nào. Nỗi đau thể xác luôn đi kèm với nỗi đau tinh thần khi một người phụ nữ phải đối mặt với căn bệnh này. Dù thoát khỏi cái chết nhưng họ vẫn bị ám ảnh bởi một phần khiếm khuyết trên cơ thể. Rất nhiều người phụ nữ rơi vào tình trạng stress sau khi phẫu thuật loại bỏ khối u trên ngực của mình.
Ung thư máu
Ung thư máu (bệnh bạch cầu) tác động tới các mô tạo máu của cơ thể, như tủy xương và hệ bạch huyết, dẫn tới sản sinh quá mức các tế bào bạch cầu bất thường.
90 % bệnh nhân mắc bệnh này là người trưởng thành. Thống kê năm 2010, có gần 22.000 người tử vong do bệnh bạch cầu.
Ung thư tuyến tụy
Tuyến tụy là một cơ quan nằm phía sau dạ dày. Các tế bào tăng trưởng bất thường trong tuyến tụy sẽ gây ra ung thư tuyến tụy. Căn bệnh này khiến 330.000 người tử vong vào năm 2012, trong đó có tới 70% trường hợp ở các nước đang phát triển. Đây là căn bệnh rất nguy hiểm, chỉ 25% bệnh nhân sống sót trong 5 năm đầu tiên sau khi chẩn đoán, 5% sống sót sau 5 năm.
Béo phì, tiểu đường, hút thuốc, chế độ ăn gồm nhiều thịt đỏ và thịt chế biến làm tăng nguy cơ mắc bệnh ung thư tuyến tụy. 10% những người mắc bệnh có tiền sử gia đình bị ung thư.
Ung thư tiền liệt tuyến
Ung thư tiền liệt tuyến – hay có tên gọi khác là ung thư tuyến tiền liệt. Đây là căn bệnh ung thư ở tuyến tiền liệt, một bộ phận trong hệ sinh dục của nam giới. Bệnh thường phát triển chậm, và có thể di căn tới một số cơ quan khác của cơ thể như xương, hạch bạch huyết. Tùy vào những giai đoạn khác nhau của bệnh sẽ có những biểu hiện khác nhau. Một số yếu tố có thể ảnh hưởng tới tiên lượng của người mắc bệnh này là tuổi tác, sức khỏe, mức độ di căn và kích thước khối u. Phương pháp điều trị phổ biến cho bệnh này là phẫu thuật, xạ trị, xạ phẫu, liệu pháp proton, điều trị nội tiết tố, hóa trị...
Ung thư dạ dày
Bệnh ung thư dạ dày có thể phát triển từ bất kỳ cơ quan nào trong dạ dày của người bệnh. Triệu chứng ban đầu của bệnh ung thư dạ dày thường không rõ ràng. Một số triệu chứng sớm của bệnh có thể nhận ra là sụt cân không rõ nguyên nhân, khó tiêu, ợ chua, mất ngon miệng, đặc biệt là với món thịt, thường xuyên buồn nôn, cơ thể mệt mỏi...
Nguyên nhân gây ra bệnh được cho là do nhiễm khuẩn Helicobacter pylori, ngoài ra, những người sinh hoạt không điều độ, ăn không đúng bữa hoặc suy nghĩ quá nhiều cũng có nguy cơ cao mắc bệnh này. Các phương pháp điều trị phổ biến cho bệnh này là phẫu thuật, hóa trị, xạ trị và điều trị kết hợp.
Để phòng ung thư dạ dày, chúng ta nên có một chế độ ăn uống và sinh hoạt phù hợp, tránh làm việc quá căng thẳng trong 1 thời gian dài, kiêng rượu bia và phòng tránh các bệnh lý khác của dạ dày như viêm dạ dày, loét dạ dày...
Ung thư ống mật trong gan
Ung thư gan là một trong những bệnh ung thư phổ biến nhất trên thế giới, nhưng không hay gặp ở Mỹ. Tuy nhiên, tỷ lệ ung thư gan ở Mỹ đang gia tăng. Phần lớn ung thư gan xuất hiện ở Mỹ bắt nguồn từ vị trí khác sau đó di căn tới gan. Loại ung thư tương đối gần là ung thư ống mật trong gan, xuất hiện trong ống dẫn mật từ gan tới ruột non.
Theo NCI, nam 2010 có gần 19.000 người Mỹ tử vong vì ung thư gan và ống mật trong gan.
Cập nhật: 02/11/2016
Theo phunuonline