8 phát kiến khoa học chứng minh thuyết tiến hóa là chuẩn xác

Ngay từ khi khoa học cũng như sinh vật học chưa phát triển, nhà bác học Darwin đã đưa ra được những giả thuyết lý giải sự hình thành của các loài sinh vật trên trái đất. Trải qua thời gian, những phát kiến khoa học dưới đây đã góp phần chứng minh tư duy của nhà bác học này vĩ đại tới nhường nào.


Khi được hỏi về nguồn gốc con người, có tới 42% người Mỹ vẫn cho rằng người là do Chúa tạo nên, bất chấp vô số những bằng chứng khoa học về thuyết tiến hóa cũng như chọn lọc tự nhiên. Thế mới thấy, trong thời kỳ mà ngành sinh vật học vẫn chưa phát triển, Darwin đã có được những giả thuyết tân tiến như thế nào. Và dưới đây, là những phát kiến khoa học ủng hộ cho thuyết tiến hóa của Darwin.


1. Phát hiện DNA


Một trong những điều đáng chú ý nhất trong cuốn 'Nguồn gốc các loài' ra mắt năm 1859 của Charles Darwin, chính là việc ông đưa ra được giả thuyết tiến hóa trong thời điểm các nhà khoa học vẫn chưa biết cơ chế di truyền của các loài động vật diễn ra như thế nào. Phải đến tận năm 1950, với việc Watson và Crick phát hiện ra DNA, chúng ta mới có được câu trả lời chính xác về tiến hóa.




DNA - câu trả lời cho ngành di truyền học.

Sự phát triển của công nghệ gene có lẽ là đóng góp quan trọng nhất cho các nghiên cứu liên quan tới sinh học tiến hóa kể từ ngày giả thuyết của Darwin ra đời. DNA tồn tại trong tất cả các sinh vật sống, cũng đồng nghĩa với việc có khả năng mọi loài trên trái đất đều tiến hóa từ cùng một tổ tiên.


Phát hiện trên cũng góp phần giải thích tại sao hoạt động chọn lọc tự nhiên, đi kèm với các biến dị của gen lại có thể thúc đẩy tiến hóa. Quá trình này diễn ra hoàn toàn tự động mà không cần bất cứ ai can thiệp vào đó cả.


2. Tìm ra hóa thạch


Các loài sinh vật, sinh ra rồi chết đi, nhưng những vết tích sự sống của chúng thì vẫn luôn ở lại. Đó là điều mà hóa thạch từ cách đây 3,8 tỉ năm dạy cho chúng ta. Hơn nữa, những hóa thạch với niên đại khác nhau, khi được sắp xếp theo đúng trình tự thời gian, trở thành một chuỗi có thể được các nhà khoa học nghiên cứu tìm hiểu hoạt động tiến hóa diễn ra từ trước đến nay ra sao. Chẳng hạn như hóa thạch mới được tìm thấy của Pappochelys, một loài bò sát sống cách đây 240 triệu năm – trở thành mắt xích còn thiếu giữa hai loài sinh vật cổ đại khác, với một số đặc tính của cả hai. Những hóa thạch mới được tìm thấy luôn đóng vai trò giúp các nhà sinh vật học lấp đầy chỗ trống trong lúc tìm hiểu quá trình tiến hóa.




Hóa thạch của loài Pappochelys mới được tìm ra trở thành mắt xích còn thiếu giữa 2 loài sinh vật cổ đại khác.

Sự tồn tại của vô số hóa thạch khác nhau diễn tả sự thay đổi liên tục của tự nhiên kể từ khi sự sống đầu tiên tồn tại trên trái đất. Từ sinh vật đơn bào đầu tiên, đến kỷ Cambri, cho đến thời của loài khủng long và các loài động vật có vú, trở thành một câu chuyện dài về quá trình liên tục tự thích nghi và phát triển.


Trên thực tế, hoạt động tự thích nghi là những phép thử liên tục nhằm tạo ra thay đổi ở các loài sinh vật trong quá trình phát triển của sự sống. Có một số tiến hóa tỏ ra phù hợp trong thời gian ngắn, trước khi những thay đối khắc nghiệt về thời tiết, hay sự xuất hiện của một số loài thiên địch – dẫn đến sự tuyệt chủng của loài. Một vài nhánh tiến hóa khác, chẳng hạn như loài chim, có khả năng biến đổi liên tục và tồn tại đến tận bây giờ. Và với những loài như vi khuẩn, hay thậm chí là cá sấu, gần như chẳng thay đổi gì từ xưa đến nay, do chúng có thể thích nghi với hầu hết tất cả mọi điều kiện sống.


3. Tìm ra những đặc tính trùng với tổ tiên


Thông thường, những nhà nghiên cứu tiến hóa hay có xu hướng chỉ ra những điểm khác biệt giữa những loài sinh vật hiện tại so với tổ tiên của chúng, nhưng đồng thời cũng luôn tìm kiếm những đặc tính giống nhau tồn tại cho đến tận bây giờ. Điều này khiến chúng ta có thể thấy rõ quá trình tiến hóa, cũng như thể hiện sự tinh vi trong việc hình thành loài.


Chẳng hạn như cấu tạo và hình thái của hươu, nai, ngựa và ngựa vằn tương đối giống nhau. Không ngạc nhiên khi biết được chúng có cùng nguồn gốc tổ tiên. Tương tự, chim mòng biển và bồ nông cùng có chung nguồn gốc, nên đương nhiên hình thái, thói quen, thậm chí cả DNA của chúng cũng tương đối giống nhau.


Và như Darwin đã chỉ ra từ 150 năm trước, những đặc tính giống nhau này cung cấp các thông tin quan trọng đóng góp cho quá trình tiến hóa, cho chúng ta thấy được hướng các sinh vật thay đổi khi điều kiện sống không còn như cũ nữa.


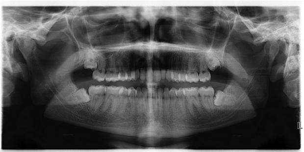
4. Phát hiện những vết tích của tổ tiên còn sót lại


Một trong những luận điểm thuyết phục chứng minh cho thuyết tiến hóa là sự tồn tại của những dấu tích sót lại từ tổ tiên. Những đặc tính này đang biến mất dần trong quá trình tiến hóa, bởi chúng không còn phù hợp với điều kiện sống hiện tại nữa, thậm chí còn có hại.




Chúng ta hoàn toàn có cơ sở để mà 'đổ lỗi' cho tổ tiên vì sự tồn tại của những chiếc răng khôn thích mọc lệch.

Cũng như những đặc tính thích nghi không xuất hiện trong 'một sớm một chiều', những đặc tính không còn cần thiết nữa cũng mất rất nhiều thời gian để có thể biến mất. Đối với con người, những đặc tính như vậy bao gồm ruột thừa, răng khôn và xương cụt.


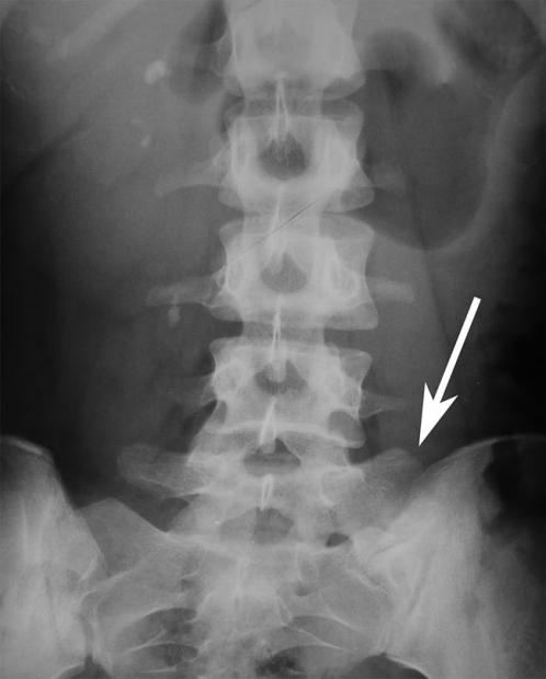
5. Chỉ ra những đặc tính chưa hoàn thiện


Cơ thể con người hiện tại, so với tổ tiên của chúng ta trước đây đã có những sự tiến hóa đáng kể. Tuy nhiên, điều này không đồng nghĩa với việc con người là sinh vật hoàn hảo, vẫn còn rất nhiều điểm mà cơ thể chúng ta vẫn chưa hoàn thiện. Ví dụ như, cổ họng con người là nơi mà cả thức ăn lẫn không khí để thở đi qua. Đấy là còn chưa kể đến việc chúng ta không có khả năng tự tổng hợp Vitamin C, hay chuyện các bà mẹ sinh nở khó khăn như thế nào đâu đấy nhé.




Bảo sao mà nhiều người hay bị đau đốt sống vùng thắt lưng, vị trí này phải chịu nhiều áp lực thế cơ mà.

Không giống như những thứ được thiết kế một cách thận trọng, sự tiến hóa của các loài vật không nhằm hướng đến sự hoàn mỹ, mà chỉ cần khả năng tự thích nghi là đủ. Hơn nữa, tiến hóa không thể bắt đầu từ hư không, mà luôn phải có điểm xuất phát cho tất cả các loài, và điều này dễ dẫn đến những đặc tính không còn cần thiết nữa từ tổ tiên bị sót lại (Như chuyện răng khôn thích mọc lệch chẳng hạn).


6. Nghiên cứu sự phát triển phôi thai


Phôi thai của con người và một số loài động vật khác thường có chung đặc tính hình dạng ở một số giai đoạn. Việc chung nguồn gene cổ đại là một trong những đáp án lý giải cho điều này.


Theo như Discovery News giải thích:


'Những gene cổ đại thể hiện rõ ở thời kỳ mà phôi thai đang phát triển, và có những đặc điểm chung giữa các loài khác nhau. Phôi thai của con người, của cá hay của một số loài sinh vật khác đều từng có đuôi, có mang cũng như một số đặc điểm khác.
Phôi thai con người có điểm giống với nhiều loài động vật khác bởi tất cả mọi loài đều còn giữ những đoạn mã gen cổ. Những đoạn gen này có nguồn gốc từ khi tế bào đầu tiên xuất hiện trên trái đất. Phát kiến này lý giải tại sao phôi thai của con người khi mới vài tuần tuổi lại có đuôi'.




Các loài khác nhau nhưng phôi thai vẫn giống nhau trong những tuần đầu tiên.

Thông thường thì các loài có họ hàng gần nhau thì phôi thai càng có nhiều đặc điểm giống nhau hơn.


7. Quan sát tiến hóa trong một khoảng thời gian ngắn


Nhiều người vẫn tin rằng việc tiến hóa cần một khoảng thời gian rất, rất dài và con người khó lòng có thể quan sát được. Tuy vậy nhưng trên thực tế, có những lúc điều kiện sống biến đổi quá nhanh khiên cho một số loài buộc lòng phải thay đổi để thích nghi càng sớm càng tốt.


Ví dụ điển hình nhất cho trường hợp này là loài ngài đêm, tiến hóa bởi chính cuộc cách mạng công nghiệp của con người. Trước đây, loài này tồn tại dưới cả hai màu trắng và đen, tuy nhiên với việc các nhà máy công nghiệp phát thải rất nhiều, khiến cho loài ngài trắng khó lòng có thể ngụy trang được. Hệ quả tất yếu là loài ngài đen tăng mạnh về số lượng, còn loài ngài trắng bị suy giảm đáng kể.


Một ví dụ khác chính là cuộc chiến của chúng ta với các loài vi khuẩn có hại. Hiện tại có rất nhiều loại vi khuẩn phát triển được khả năng kháng thuốc, khiến rất nhiều các y bác sĩ phải đau đầu và lo lắng về một tương lai mà không có cách nào kháng lại vi khuẩn.


8. Giả lập sự tiến hóa trên máy tính


Một cách khác để có thể chứng kiến quá trình tiến hóa là giả lập chúng trên máy tính. Các nhà nghiên cứu tiến hóa đã thực hiện điều này trong nhiều năm liền, sử dụng máy tính để tạo ra điều kiện môi trường giả lập biến đổi liên tục để theo dõi quá trình chọn lọc tự nhiên. Nhờ vậy, họ có thể theo dõi sự tiến hóa trong một khoảng thời gian ngắn, đồng thời chạy cùng một điều kiện giả lập nhiều lần để đưa ra kết quả chính xác nhất.




Spore - trò chơi giả lập quá trình tiến hóa.

Các nhà khoa học cũng đồng thời sử dụng sức mạnh của tiến hóa để phát triển các loại thuốc cũng như robot. Mới đây, các nhà khoa học tại trường Đại học Cambridge đã tạo ra một hệ thống robot có khả năng tạo ra những 'đứa con', đồng thời tự đánh giá hoạt động của chúng để nâng cấp thiết kế cho các robot thế hệ sau.


Cập nhật: 14/08/2016
Theo Genk

TIN LIÊN QUAN

Tác hại của thuyết tiến hóa: Vai trò của học thuyết Darwin trong hệ giáo dục của Đức Quốc xã

Chúng ta đã biết Lord Kelvin coi học thuyết Darwin chỉ là một giả thuyết thay vì một lý thuyết thực sự. Dưới ánh sáng của khoa học lịch sử hiện đại, chúng ta có thể nhận định mạnh hơn rằng học thuyết Darwin chỉ là một hệ tư tưởng ngụy khoa học, có

Sự thật về thuyết tiến hóa: Lý thuyết di truyền của Mendel bác bỏ học thuyết Darwin

Khi còn là một học sinh trung học, như bất kỳ một học trò nào khác, tôi tin vào học thuyết Darwin. Chúng tôi còn quá ngây thơ để biết sự thật. Thế hệ tôi không may không được học di truyền học. Chúng tôi không biết gì về Mendel. Thầy dạy sinh vật

Sự thật về thuyết tiến hóa: DNA – tử huyệt của học thuyết Darwin

Tiến sĩ Meyer coi những khám phá về DNA như cái gót chân Asin của thuyết tiến hóa. Ông nhận xét: “Các nhà tiến hóa vẫn cố áp dụng tư duy của Darwin trong thế kỷ 19 vào hiện thực của thế kỷ 21, nhưng tư duy ấy không còn thích ứng được nữa… Tôi nghĩ

Nguyên Thứ trưởng Bộ Khoa học và Công nghệ nói gì về thuyết tiến hóa?

Tiến hóa hay Tạo hóa? Đó là câu hỏi mà bất cứ ai yêu sự thật cũng không thể né tránh. Thuyết tiến hóa của Darwin thực ra đã bị nghi ngờ từ lâu, nhưng nó càng trở nên đáng ngờ hơn dưới ánh sáng của những khám phá mới trong sinh học phân tử và cổ

Bí ẩn của sự sống, càng nghiên cứu các nhà khoa học càng tin chắc rằng:”Thượng Đế có tồn tại”

“Sự phát triển của khoa học từ sau Chiến tranh Thế giới thứ hai gây ấn tượng mạnh, khiến nhân loại nghĩ rằng khoa học có một khả năng vô tận trong việc nhận thức thế giới và giải quyết các vấn đề của nhân loại. Sự thực không phải như vậy: khoa học

Người Piltdown: Vụ lừa đảo lớn nhất của thuyết tiến hóa

Darwin lúc sinh thời rất lo lắng về sự vắng mặt các hóa thạch cần thiết để chứng minh thuyết tiến hóa của ông. Nhưng thuyết tiến hóa sai. Không có tiến hóa. Không có bằng chứng thật sự của tiến hóa. Vì thế một số người theo thuyết tiến hóa cố gắng

Giới khoa học phát hiện hai lục địa rộng lớn đã biến mất

Các nhà khoa học tìm thấy 2 lục địa Á-Âu và Ấn Độ đã từng tồn tại cách đây 60 triệu năm nay đã bị chìm mất.

Các nhà khoa học đã tìm ra bằng chứng thuyết phục về câu chuyện “Moses chia biển”.

Câu chuyện ông Moses tách nước biển ra làm hai để đoàng người Do Thái có thể băng qua, sau đó nhấn chìm tào bộ truy binh Ai Cập là một phép lại nổi tiếng trong Kinh Thánh Công Giáo.

THỦ THUẬT HAY

Cách cài chế độ đổ chuông khi có việc khẩn cấp với Essential Calls

Với ứng dụng Essential calls bạn hoàn toàn có thể nhận thông báo cuộc gọi từ các số điện thoại quan trọng ngay cả khi điện thoại ở chế độ im lặng. Essential Calls Lite sẽ giúp bạn tạo ra danh bạ riêng và đổ chuông khi

Hướng dẫn sử dụng dấu nhắc lệnh trên Windows XP, Windows Vista, Windows 7 và Windows 8

Trên hệ điều hành Windows, môi trường dòng lệnh (command prompt) cho phép chúng ta gửi đi những chỉ thị đến bộ phận hệ điều hành nằm bên dưới giao diện đồ họa. Việc thực thi một chương trình từ Command Prompt có thể

Apple tung ra bản cập nhật iOS 16.0.2 cho tất cả iPhone gặp sự cố lỗi rung

Vào tuần trước, một số người dùng iPhone 14 Pro và iPhone 14 Pro Max đã gặp sự cố khi quay video trên các ứng dụng như Instagram, TikTok và Snapchat.

Cách sử dụng tính năng Water Lock trên Apple Watch series 3 hay 2 với watchos 4

Bạn có thể sử dụng Water Lock trên Apple Watch chạy watchos 4 để nâng cao trải nghiệm tập luyện thể thao dưới nước. Đó là tính năng giúp cung cấp thêm một lá chắn bổ sung nước có thể thấm vào bên trong SmartWatch.

Cách tắt dịch vụ Google Play cực kì đơn giản và nhanh chóng.

Google Play là dịch vụ được cài sẵn trên smartphone Android. Đối với nhiều người, đây là những ứng dụng rất tiện ích. Nhưng nếu bạn không thích và muốn tắt dịch vụ Google Play đi để đỡ nặng máy thì phải làm thế nào?

ĐÁNH GIÁ NHANH

Top 5 điều hòa dưới 6 triệu 2017

Trong cái nóng hơn 40 độ, đỉnh điểm có nơi lên tới gần 60 độ thì việc trang bị cho gia đình một chiếc điều hòa là vô cùng cần thiết. Hãy cùng rTang công nghệ điểm danh nhưng cái tên cho chất lượng cùng giá tốt nhất

TOP 3 smartphone chơi game tầm giá 10 triệu đáng mua nhất hiện nay

Bạn đang tìm kiếm một chiếc điện thoại chơi game được trang bị cấu hình mạnh mẽ, hiệu năng tốt, có khả năng chiến mọi thể loại game nhưng với mức giá bán vừa phải. Chúng tôi xin giới thiệu đến bạn top 3 smartphone chơi

Đánh giá OPPO A94: Khả năng quay chụp cùng sạc nhanh ấn tượng ở mức giá 7,7 triệu đồng

OPPO A94 là lựa chọn mới mà OPPO mang đến phân khúc tầm trung trong nửa đầu 2021. Dù nếu so qua thông số thì A94 không khác quá nhiều người anh em A93 ra mắt cách đây không lâu nhưng OPPO vẫn biết cách làm mới sản phẩm